Moderní. Jemná a hlavně lidská. V Affident nejde jen o „vyčištění zubů“. Naším cílem je, abyste porozuměli svému úsměvu, cítili se v pohodě a odcházeli s pocitem péče na nejvyšší úrovni. Co vás u nás čeká?

.jpg)
Na začátku si s vámi popovídáme o vašich zubech, předchozí hygieně i tom, co vás trápí. Vysvětlíme, co vás čeká, a postaráme se o to, abyste se cítili dobře.
Abychom nic nepřehlédli, uděláme snímky OPG a bite-wing, které jsou důležité pro komplexní přehled o stavu zubů. Součástí je i fotodokumentace – snímky vidíte přímo na obrazovce, kde vám vše podrobně vysvětlíme.
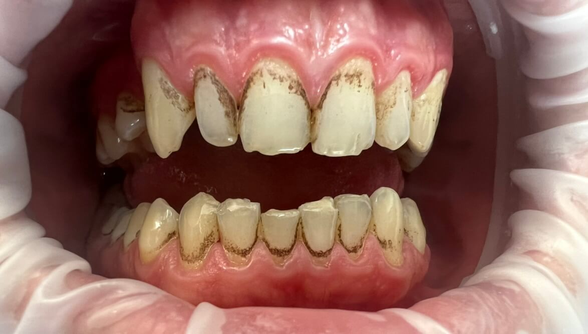
Zuby obarvíme indikátorem plaku, takže přesně vidíte, kde se bakterie usazují a proč. Díky vizualizaci na obrazovce vše pochopíte snadno a srozumitelně.
Když víte, co čistíte a proč, máte motivaci to doma dělat správně.
Naše hygienistky pracují s lupovými brýlemi a LED osvětlením, takže vidí každý detail.
Používáme nejnovější přístroj GBT Machine, který představuje špičku v oblasti šetrné a precizní dentální hygieny.
Díky této technologii je ošetření rychlejší, komfortnější a citlivější než kdy dřív.
GBT Machine se automaticky přizpůsobí výkonem každé části ošetření a dokáže jemně, ale důkladně odstranit plak, kámen i pigmentace z kávy, čaje nebo kouření.
Pacienti oceňují, že ošetření je příjemné a téměř bezbolestné – i při citlivějších zubech a dásních.
GBT Machine je nový standard dentální hygieny – a v Affident ho máte jako samozřejmost.
Pokud odhalíme známky počínající nebo pokročilé parodontitidy, vše vám hned vysvětlíme a navrhneme vhodnou léčbu přímo u nás.
Parodontitida nebolí, ale o to víc tiše ničí. U nás ji nenecháme bez povšimnutí.
Na závěr vám doporučíme konkrétní pomůcky – mezizubní kartáčky, pasty i hlavice včetně doporučení elektrického zubního kartáčku.
Ukážeme přesnou techniku přizpůsobenou vašim ústům a odpovíme na všechny otázky.
Zjišťujeme vaše potřeby, přání i obavy. Každý pacient je jiný, proto vše přizpůsobíme vám.
Pomocí rentgenů a fotodokumentace získáme přesný přehled o stavu chrupu a dásní.
S pomocí GBT Machine odstraníme zubní kámen, plak i pigmentace z kávy či kouření – bez bolesti a zbytečného tlaku.
Ukážeme vám, jak se o zuby starat doma, aby výsledky vydržely co nejdéle. Odcházíte s úsměvem a jasným plánem.
Cena se může lišit podle délky ošetření a stavu chrupu. Vždy vám vše předem vysvětlíme, abyste věděli, co očekávat.
objednejte se online90 min., při online objednání vyplňte slevový kód "HYGIENA20"
60 min., při online objednání vyplňte slevový kód "HYGIENA20"
30 min.
90 min., cena zahrnuje paro sondaž + rtg OPG + IO status, foto dokumentace + následný plán
60 min., hloubkové čištění pod dásní při parodontitidě
90 min., hloubkové čištění pod dásní při parodontitidě
120 min., hloubkové čištění pod dásní při parodontitidě
Pravidelná dentální hygiena nezajišťuje jen zářivý úsměv bez pigmentů, ale především zdravé dásně a svěží pocit v ústech. Díky nejmodernější technologii dokážeme šetrně, ale velmi účinně odstranit i silné usazeniny a zabarvení – často i v případech, kdy jinde řekli, že „už to nejde“.


Žádný stres. Všechno vám vysvětlíme, ukážeme a provedeme ošetření tak, aby bylo pro vás příjemné a srozumitelné. První návštěva bývá spíš o seznámení, vyšetření a edukaci – bez zbytečného spěchu. Naším cílem není jen čistý chrup, ale pochopení a klid, že jste v dobrých rukách.
Není problém. GBT Machine umožňuje nastavit výkon i teplotu vzduchu a vody přesně podle citlivosti. Navíc používáme zklidňující gely a doporučíme vám domácí péči, která citlivost z dlouhodobého hlediska snižuje.
Ano, určitě. Naopak, dentální hygiena je při těchto situacích ještě důležitější – pomáhá udržet aparát i okolní dásně zdravé. Používáme speciální nástavce a šetrné trysky, které čistí i kolem rovnátek, implantátů a korunek.
Dentální hygiena není jen o „vyčištění zubů“. Během ošetření odstraníme zubní kámen, plak i pigmentace. Obarvíme zuby indikátorem, abyste viděli, kde se plak tvoří. Pak zuby vyčístíme od plaku, kamene a pigmentací, ukážeme správnou techniku čištění a doporučíme pomůcky na míru. Nakonec zuby naflouridujeme. Celý proces trvá přibližně 60 až 90 minut a končí pocitem dokonale čistých zubů.
Ano – je to důležité pro přesnou diagnostiku. Rentgeny (OPG a bite-wing snímky) nám umožní odhalit začínající kazy nebo záněty, které nejsou pouhým okem vidět. Fotodokumentace zase pomáhá sledovat vývoj v čase a ukazuje vám konkrétní výsledky péče. Vše probíhá přímo u nás, snímky uvidíte hned na obrazovce.
Ideálně dvakrát ročně – tedy každých 6 měsíců. Pokud máte sklony k tvorbě zubního kamene, pigmentací nebo trpíte parodontitidou, může být vhodné chodit častěji (např. každé 3–4 měsíce). Naše hygienistka vám po první návštěvě doporučí interval přesně podle vašeho stavu.
Ne, u nás ne. Používáme nejmodernější technologii GBT Machine, která pracuje s přesným tlakem a teplotou vody tak, aby bylo ošetření šetrné i pro citlivé zuby a dásně. Pokud máte citlivější místa, přizpůsobíme výkon přístroje nebo použijeme znecitlivující gel. Většina pacientů popisuje ošetření jako příjemné a osvěžující, ne bolestivé.